Regulation der Zellproliferation bei Krebs
Das Verständnis, wie die Signalübertragung gesteuert wird, ist ein wichtiges Thema in der Biologie mit enormen Auswirkungen auf das Verständnis von Krebs.
Die streng koordinierte zelluläre Reaktion auf externe Signale ist entscheidend für viele maligne zelluläre Merkmale, einschließlich uneingeschränktem und/oder verankerungsunabhängigem Wachstum, erhöhter Migrationsbereitschaft sowie verringerter Adhärenz.
Folglich stören viele der bei Krebs gefundenen Veränderungen die molekulare Signalgebung und bewirken dadurch eine stark reduzierte Abhängigkeit von externer mitogener Stimulation.
Die meisten unserer aktuellen Projekte sind darauf ausgelegt, die Rolle von Sprouty-Proteinen bei der Signalübertragung von Zellen und Krebs aufzuklären. Dabei zielt ein Teil unserer Untersuchungen darauf ab, die molekularen Grundlagen von Sprouty-Funktionen als Inhibitoren von RTK-vermittelten Prozessen wie Zellproliferation und -migration aufzuklären.
Diese Analysen untersuchen, in welche Art von Prozessen die Sprouty-Proteine eingreifen, mit welchen Proteinen sie interagieren, welche Signalwege sie beeinflussen und welches Potenzial sie haben, als körpereigener Inhibitor der Zellproliferation eingesetzt zu werden.
Um die Funktionen von Sprouty-Proteinen als Antagonisten von Rezeptortyrosinkinasen (RTKs) in der Tumorentstehung zu untersuchen, planen wir zu klären, wie wichtig deregulierte Sprouty-Proteinexpressionen für die zelluläre Transformation von normalen zu malignen Zellen sind.
Dabei werden wir untersuchen, ob und wie die modulierte Expression von Sprouty-Proteinen die deregulierte Zellproliferation, Immortalisierung und die zelluläre Reaktion auf verschiedene Signale beeinflusst.
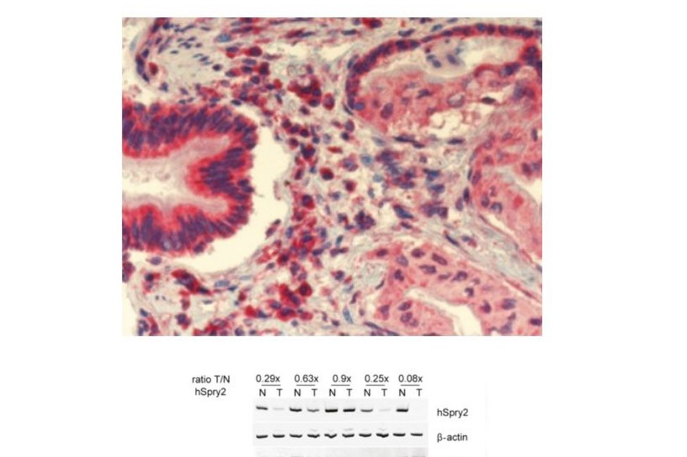
Darüber hinaus interessieren uns Mechanismen, die an der Regulation der Sprouty-Expression während des Zellzyklus, als Reaktion auf unterschiedliche Mikroumgebungen, und an der Tumorentwicklung beteiligt sind. Dazu gehören Promotorstudien sowie posttranskriptionelle Regulationsmechanismen wie Ubiquitinierung über c-CBL und andere E3-Ligasen und mRNA-Regulation über microRNA-21.
In diesem Teil des Projekts untersuchen wir den Einfluss von miR-21 auf die Herunterregulierung von Spry2 und Spry1 bei Krebs.
Ein weiteres Ziel dieses Projekts ist es, die Rolle von miR-21 bei der Krebsentstehung aufzuklären. Dazu gehören Expressionsanalysen sowie Studien, die die Rolle dieser kleinen RNA bei verschiedenen Krebsarten untersuchen.
 
                                            


